Havlík
Dental Clinic
Rufen Sie uns
+420 605 556 672
Home
ÜBER UNS
LEISTUNGEN
Beratung
NEUIGKEITEN
PREISLISTE
GALERIE
Kontakt
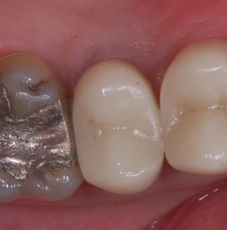
Eine CEREC Krone auf Molar
Zögern Sie nicht
Planen Sie Ihren ersten
Besuch
Termin vereinbaren