Bělení zubů BlancOne

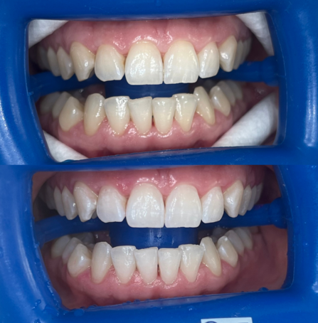
Rozhodli jsme se bělení BlancOne Click vyzkoušet sami, abychom Vám dokázali, že je to bezpečné, rychlé a skutečně funguje. Po provedení dentální hygieny a fotodokumentaci, jsme vybrali původní barvu podle vzorníku. A potom už jsme se pustili do bělení. Nebylo potřeba nanášet žádnou ochrannou bariéru na dásně. Aplikovali jsme bělení a spustili lampu. A je to, výsledek je opravdu vidět a to za pouhých 10 minut.
Navíc bez bolesti, bez citlivosti a opravdu s viditelným výsledkem.
K dispozici jsou i další varianty bělení BlancOne pro ještě více zářívější úsměv.