Zhotovení 4 předních korunek CEREC
Čtyři přední korunky CEREC
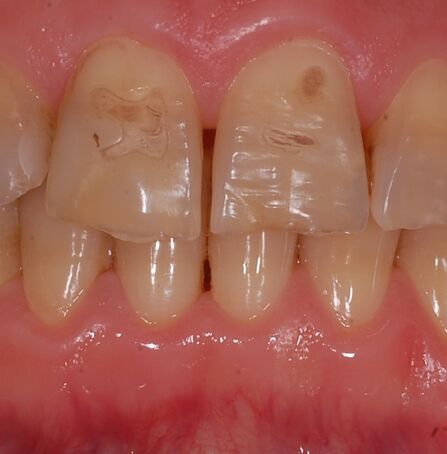
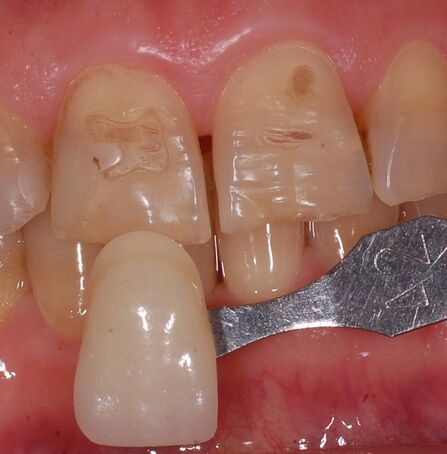
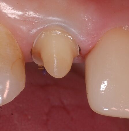
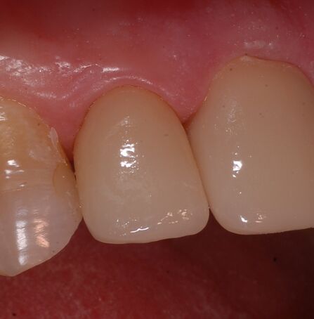
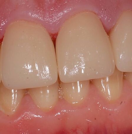
Do našeho stomatologického centra se dostavil 49 letý klient s přáním vylepšení vzhledu jeho opotřebovaných předních zubů. Po komplexním vyšetření a fotodokumentaci, jsme připravili v laboratoři návrh tvaru a velikosti nových zubů. Rozhodli jsme se společně s klientem pro estetické řešení pomocí celokeramických korunek nejprve v rozsahu předních čtyřech zubů, později i obou špičáků. Upravoval se nejen tvar a délka zubů , ale i barva. Vzhledem k většímu počtu ošetřovaných zubů jsme zvolili ošetření ve dvou návštěvách, a to během tří dnů. Nezbytné provizorní korunky byly nošeny tedy pouze velmi krátce. Po nacementování celokeramickým korunek E.max zhotovené systémem CEREC byl vzhled zubů a úsměv pacienta přirozený a mladistvý. 
S výsledkem po první fázi je klient velmi spokojen a těší se na pokračování.
 
					 
						 
						 
						 
						 
						